
白くなりにくかった歯にも、
しっかりアプローチ
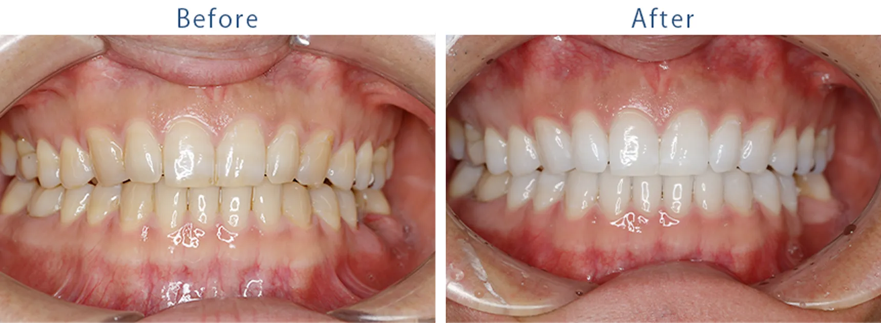
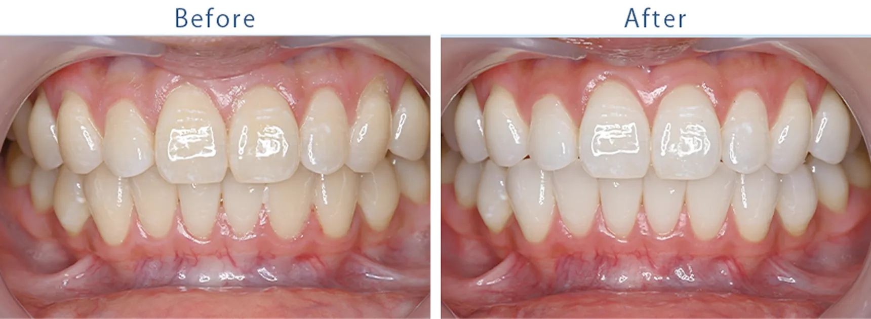
薬事承認を受けたホワイトニング薬剤と、効果の高い専用照射器を使用。
これまで白さを実感できなかった方にも、輝く自然な白さを目指せます。

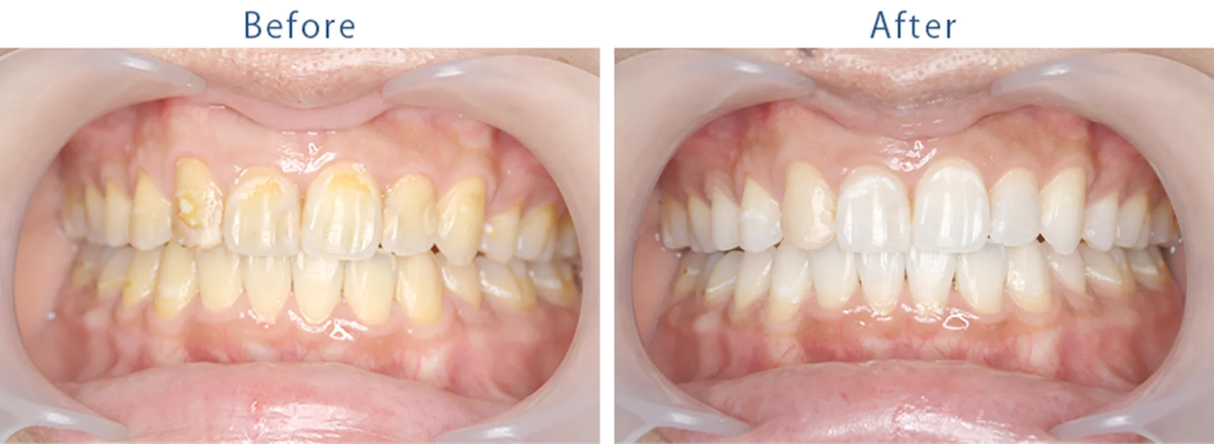
薬事承認を受けたホワイトニング薬剤と、効果の高い専用照射器を使用。
これまで白さを実感できなかった方にも、輝く自然な白さを目指せます。

施術はすべてプライバシーに配慮した個室で実施。
落ち着いた空間で、人目を気にせず、ゆったりとお過ごしいただけます。
プライバシーを守りながら、安心してお過ごしいただけます。
まずは、むし歯や歯周病の有無をしっかり確認します。必要に応じて、レントゲンやお口の写真を撮影し、過去に治療した歯の状態も一緒にチェックします。
治療が必要な場合は、わかりやすくご説明し、あなたに合った治療計画をご提案しますので、ご安心ください。
当医院でホワイトニングを受けられた方は、インビザライン矯正治療を始める際に、3万円の割引特典をご利用いただけます。
歯ならびも、白さも、トータルで理想の口元へ
笑顔に自信が持てると、気持ちまで明るく前向きに変わっていきます。
歯ならびをまずは治したい方も、当医院で矯正治療を行うと、ホワイトニングが10%割引になります。
歯の美しさは、その場限りのものではなく、日々の生活や人生そのものに影響を与えます。 「白く整った歯ならび」は、相手に清潔感や信頼感を与えるだけでなく、ご自身に自信をもたらし、自然と笑顔が増えるきっかけとなります。 私たちは、その瞬間だけの美しさではなく、「これから先の人生を支える笑顔づくり」を大切にしています。
審美歯科というと、「特別な人のための治療」と思われがちですが、決してそうではありません。
・ 前歯の小さな欠けが気になる方
・ 差し歯や詰め物の色が周囲と合っていない方
・ 歯の黄ばみを改善して明るい印象を持ちたい方
こうした日常的なお悩みも、審美治療で解決することができます。
「ちょっと気になる」からでも、気軽にご相談ください。
私たちは、見た目だけでなく「長く続く美しさ」にこだわります。
健康な歯ぐき、バランスの取れたかみ合わせ、顎の関節の安定――
これらが揃ってはじめて、美しさが保たれるのです。一時的な美しさではなく、自然に見える、機能する、長く続く美しさを目指しています。


美しい口もとは、一つの治療だけで完成しないこともあります。
ホワイトニングで歯を明るくし、セラミック治療で形や色調を整え、矯正治療で歯ならびやかみ合わせを改善する。
それぞれの治療を組み合わせ、総合的に判断することで、より自然で調和のとれた美しさを実現できます。
当院では、患者さまのお口の状態やご希望に合わせて、最適な治療プランをご提案いたします。

治療によって得られる美しさを、いかに長く保つかも重要です。
そのため当院では、治療後のメインテナンスや定期的なチェックを欠かしません。
また、歯周病や虫歯といったお口の健康リスクに配慮し、「美しさと健康がともに続く状態」を目指してサポートしていきます。
審美歯科No.1 21歳女性
審美歯科No.2 29歳女性
ホワイトニングNo.1 28歳女性
ホワイトニングNo.2 31歳男性
ホワイトニングNo.3 29歳女性
12回まで
金利手数料
0%
金利手数料はホワイトエッセンスが負担いたします
ホワイトエッセンスコース(有効期限6ヶ月 118,800円)
| お支払い回数 | 6回 | 12回(1年間) | 18回(18ヶ月) | 24回(24ヶ月) |
|---|---|---|---|---|
| お客様手数料 | 0% | 0% | 3.92% | 5.18% |
| 月々のお支払い | 13,100円 初回13,500円 | 9,900円 初回9,900円 | 6,800円 初回7,856円 | 5,200円 初回5,323円 |
ホワイトエッセンスコース ライト(有効期限6ヶ月 79,000円)
| お支払い回数 | 6回 | 12回(1年間) | 18回(18ヶ月) | 24回(24ヶ月) |
|---|---|---|---|---|
| お客様手数料 | 0% | 0% | 3.92% | 5.18% |
| 月々のお支払い | 13,100円 初回13,500円 | 6,500円 初回7,500円 | 4,500円 初回5,596円 | 3,400円 初回4,892円 |
オフィスホワイトニング2回チケット(有効期限6ヶ月 35,800円)
| お支払い回数 | 6回 | 12回(1年間) | 18回(18ヶ月) | 24回(24ヶ月) |
|---|---|---|---|---|
| お客様手数料 | 0% | 0% | 3.92% | 5.18% |
| 月々のお支払い | 5,800円 初回13,500円 |
| 診療項目など | 所要時間 | 料金 |
|---|---|---|
| ホワイトエッセンスコース | 初回90分・2回目以降〜60分 | 118,800円(有効期限6ヶ月) |
| ホワイトエッセンスコース エクスプレス |
初回〜150分・2回目以降60分〜120分 | 118,800円(有効期限1ヶ月) |
| ホワイトエッセンスコース ライト |
初回90分・2回目以降〜60分 | 79,800円(有効期限6ヶ月) |
| オフィスホワイトニング 2回チケット |
初回90分・2回目以降〜45分 | 35,800円(有効期限6ヶ月) |
| オフィスホワイトニングプロ | 初回90分・2回目以降45分 | 19,900円 (上下どちらか片方のみ・17,160円) |
| オフィスホワイトニング プロプラス |
初回90分・2回目以降45分 | 25,400円 (上下どちらか片方のみ・19,920円) |
| ホームホワイトニング スターターキット |
初回60分・2回目以降15分 | 19,900円 (ホームホワイトニングマウスピース、 ホームホワイトニングジェル10% 1週間分付) 上下どちらか片方のみ 13,200円 (ホームホワイトニングマウスピース、 ホームホワイトニングジェル10% 1週間分付) 追加ジェル1本1,980円 |